インプラント症例1
インプラントの症例をご紹介いたします。
左上1部欠損症例、口腔内写真
術前
術後

インプラントの症例をご紹介いたします。
左上1部欠損症例、口腔内写真
術前
術後

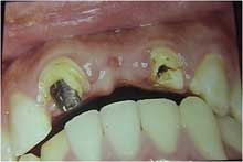
前歯ブリッジ破損症例、口腔内写真
術前

術後

上部X-ray、口腔内X-ray写真
術前

術後

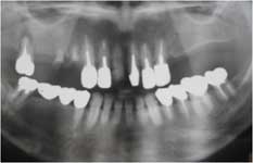
両上顎臼歯部及び右下臼歯部欠損症例、X-ray写真
術前

術後

西東京市 歯科 (西東京市の歯医者)−神田歯科医院−
一般歯科・歯科口腔外科・小児歯科・予防歯科・審美歯科・インプラント相談
●ご予約・お問合せは・・・042-466-3234
Copyright©2006- Kanda Dental Clinic All rights reserved.